Anatomia del ginocchio
l ginocchio è un’articolazione composta essenzialmente da 3 ossa ben distinte:
- il femore
- la tibia
- la rotula o patella.
Il femore si poggia sulla parte prossimale della tibia, il piatto tibiale,tramite due strutture rotondeggianti tra loro parallele dette condili. Queste strutture articolari sono ricoperte di cartilagine, un tessuto che agisce come un vero e proprio cuscinetto; è lubrificata da un liquido molto viscoso, il liquido sinoviale, e nel mantenere separate le ossa consente un movimento fluido e con scarso attrito. Altre strutture fondamentali per un corretto funzionamento e per una lunga durata di un ginocchio sono i due menischi, laterale e mediale) che agiscono come due veri e propri ammortizzatori
I movimenti principali di un ginocchio sono la flesso-estensione, la rotazione interna ed esterna ed i movimenti laterali rispetto al proprio asse, cioè quelli in varo-valgo. Tutti questi movimenti sono resi possibili dalla presenza di 4 legamenti che hanno anche e soprattutto una funzione contenitiva per mantenere la stabilità dell’articolazione stessa: questi sono i due legamenti crociati (anteriore e posteriore) ed i due legamenti collaterali (mediale e laterale).
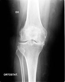
La malattia più frequente che colpisce il ginocchio è l’artrosi. E’ una patologia le cui cause non sono ancora del tutto chiare (viene infatti detta idiopatica) e fa sì che il manto cartilagineo in alcuni punti di maggior carico si usuri e si crei un attrito tra le due superfici ossee. Può colpire sia il compartimento mediale che quello laterale o, nei casi più severi, entrambi i compartimenti. E’ purtroppo una malattia progressiva ed irreversibile. L’artrosi può essere anche causata da una deformità assiale del ginocchio e/o dell’intero arto inferiore: avremo quindi il ginocchio varo (gambe a “O”) ed il ginocchio valgo (gambe ad “X”).

